医療に見るAIの進化と変革【第103回】 – デジタルクロス 2026年4月20日2026年4月20日ai デジタルデバイスやセンサーの浸透により、さまざまなデータ収集が可能になり、情報へのアクセスも容易になった。それらの大量のデータが非構造化データであってもAI(人工知能)技術により解析が可能になっており...
AIチャットボットの医療アドバイスに警鐘 回答の半数が「問題あり」と海外の研究者らが指摘 – デイリースポーツ 2026年4月19日2026年4月19日ai 医療アドバイスを求めて人工知能(AI)チャットボットを利用する人々は、不正確な情報を得ている可能性があることがわかった。「British Medical Journal」に寄稿した研究者らは、AI搭載...
AnthropicノバルティスCEO起用で医療強化しIPO準備加速 – CHOSUNBIZ – Chosunbiz 2026年4月15日2026年4月15日ai AnthropicノバルティスCEO起用で医療強化しIPO準備加速 人工知能(AI)企業のAnthropicがノバルティスの最高経営責任者(CEO)を取締役会に迎え入れ、ヘルスケア事業の拡大と新規株...
日本の医療相互運用性ソリューション市場の規模、シェア、成長要因および予測(2025年~2035年) – ニコニコニュース 2026年4月14日2026年4月15日ai KD Market Insightsは、「日本の医療相互運用性ソリューション市場の将来動向および機会分析(2025年~2035年)」と題した市場調査レポートの発行を発表しました。本レポートの対象範囲は...
Web講演会データと生成AIによる医師向け視聴・情報取得体験の進化 – ライブドアニュース 2026年4月13日2026年4月13日ai 株式会社Jストリーム株式会社Jストリーム(東証グロース:4308 代表取締役社長:石松 俊雄、以下Jストリーム)は、2026年4月21日(火)~23日(木)に開催される「ファーマI
病薬向け「生成AI活用ガイダンス」公表 日病薬 – MEDIFAX web 2026年4月6日2026年4月6日ai 日本病院薬剤師会は6日までに、「病院薬剤師向け生成AI利活用ガイダンス」を発表した。生成AIを「判断を代替するもの」ではなく「判断を支援する参考ツール」と位置付け、8つの活用事例を提示。リスクを伴う…
病薬向け「生成AI活用ガイダンス」公表 – PHARMACY NEWSBREAK 2026年4月6日2026年4月6日ai 日本病院薬剤師会は6日までに、「病院薬剤師向け生成AI利活用ガイダンス」を発表した。生成AIを「判断を代替するもの」ではなく「判断を支援する参考ツール」と位置付け、8つの活用事例を提示。リスクを伴う…
生成AI時代に備える日本語メディカルライティング基礎講座を開催 – PR TIMES 2026年4月1日2026年4月1日ai 日本アイアール株式会社のプレスリリース(2026年4月1日 10時00分)生成AI時代に備える日本語メディカルライティング基礎講座を開催
医師からAIチャットボットが“処方”される時代に。米国で「ブレークスルーデバイス」に指定されたことの意味 – ライブドアニュース 2026年3月26日2026年3月26日ai 術後ケア用の人工知能(AI)ツールが、患者向けの生成AIとしては初めて米食品医薬品局(FDA)のブレークスルーデバイス指定を取得した。AIが診断補助ツールから処方型医療デバイスへと進化する重要な転換点...
医療特化AIの「2つの潮流」、AI新興の現在地と成功事例(2ページ目) – 日経クロステック 2026年3月18日2026年3月18日ai ヘルスケア・医療分野のVertical AI(人工知能)には、解決すべき課題が凝縮している。それを知るには、国内の医療スタートアップの現状を俯瞰(ふかん)するのが近道だ。医療のVertical AIで...
(プレスリリース)長野市民病院、生成AI活用で年間5,472時間の業務効率化を実証 – ニフティニュース 2026年3月9日2026年3月9日ai ~電子カルテ直接連携と50超のAIアシスタント運用で病院DXを推進~地方独立行政法人長野市民病院(長野県長野市、400床)は、院内で運用する生成AIアシスタントの活用により、年間5,472時間(月平均...
【プレスリリース】製薬企業 科研製薬株式会社 遺伝性血管性浮腫(HAE)診断コンソーシアムに賛助会員として参画 – ニフティニュース 2026年3月7日2026年3月8日ai 一般社団法人遺伝性血管性浮腫診断コンソーシアム(代表理事:秀 道広・堀内 孝彦、以下「DISCOVERY」)は、遺伝性血管性浮腫(以下、「HAE」)と診断されずに症状に苦しむ患者様を救うために、適切な...
AI inside、医療業界向け診療明細処理ソリューションを提供開始― 診療明細の入力業務の自動化を実現 – 朝日新聞 2026年3月5日2026年3月5日ai AI inside 株式会社(代表取締役社長CEO:渡久地 択、本社:東京都港区、以下「AI inside」)は、医療業界における診療明細処理を高精度にデータ化するソリューション(以下「本サービス」)...
大同病院、患者さん体験の刷新に向けて「Agentforce」を導入 – ニコニコニュース 2026年3月4日2026年3月5日ai 株式会社セールスフォース・ジャパン(代表取締役会長兼社長 小出 伸一、以下Salesforce )は、本日、社会医療法人宏潤会 大同病院(所在地:愛知県名古屋市、理事長:宇野 雄祐、以下 大同病院)が...
大同病院、AIエージェントで診療予約を24時間自動化、SalesforceのAgentforceを導入 – IT Leaders 2026年3月4日2026年3月4日ai 社会医療法人宏潤会 大同病院(所在地:愛知県名古屋市)は、Salesforceの自律型AIエージェント「Agentforce」を診療予約業務に導入する。コールセンターが担ってきた予約受付をAIエージェ...
(プレスリリース)金融・医療向け閉域AI、カスタマークラウドがローカルLLM事業強化 – ニフティニュース 2026年2月23日2026年2月23日ai カスタマークラウドは2026年を第二創業元年と定め、世界に先駆けたAGI駆動開発(AIネーティブ開発)を基盤に社会インフラへ新たな価値を実装。日本発グローバルAIスタートアップとして渋谷から世界へ挑戦...
富士通Japanなど、大阪病院で生成AIの安全な利活用に向けた体制構築プロジェクトを開始 – ニコニコニュース 2026年2月19日2026年2月20日ai 地域医療機能推進機構 大阪病院(以下、大阪病院)、富士通Japan、フォーティエンスコンサルティング(旧 クニエ)は2月19日、日本マイクロソフトの技術を活用して、医師や看護師の業務全般に渡り生成AI...
学術論文120万本を学習した健康AI「Syd」…QOL20%向上の実証と日本戦略の全貌 – ビジネスジャーナル 2026年2月18日2026年2月18日ai 学術論文120万本を解析し、83億人年相当の研究データを基に開発された700億パラメータの健康特化型LLM「Syd」。導入12カ月でQOL20%向上、ストレス48%減少、生産性23%向上(※同社分析)...
NotebookLMの可能性とピットフォール – 日経メディカル 2026年2月17日2026年2月17日ai Googleが提供するAIツールのNotebookLMに、インフォグラフィックとスライド資料を生成するツールが搭載されました。NotebookLMは、指定した情報源(ソース)のみを学習するため、ハルシ...
AIチャットボットに医学的助言求めるのは“危険”…「不正確で一貫性ない」と警鐘 – Excite エキサイト 2026年2月13日2026年2月13日ai AIチャットボットが、不正確で一貫性のない医療アドバイスをユーザーに提供する危険性が指摘されている。英オックスフォード大学の研究によると、医療ガイダンスに人工知能(AI)を利用する人々は、良い回答と悪...
AI時代の医療人材育成に新たな指標 – ニコニコニュース 2026年2月13日2026年2月13日ai 順天堂大学医学部総合診療科学講座の藤川裕恭 特任助教・森博威 准教授・矢野裕一朗 教授・内藤俊夫 主任教授、順天堂大学医学部医学教育研究室の西崎祐史 教授、およびダラム大学近代言語文化学部 近藤カヨ講...
医療から食まで――AIがもたらす新たな未来 – 매일경제 2026年1月23日2026年1月24日ai 人工知能(AI)の発展により、生命科学分野の研究はこれまでになく急速に進んでいる。新刊『スーパーコンバージェンス、超融合の時代が来る』は、こうした変化が私たちの生活に実際どのような影響を及ぼすのかを分...
病院・クリニック業界の課題をAI活用で解決する『ホリエモンAI学校 病院・クリニック校』開校のお知らせ、無料ウェビナーも – PR TIMES 2026年1月23日2026年1月23日ai ホリエモンAI学校株式会社のプレスリリース(2026年1月23日 10時13分)病院・クリニック業界の課題をAI活用で解決する『ホリエモンAI学校 病院・クリニック校』開校のお知らせ、無料ウェビナーも
【PR TIMES 医療・医薬・福祉 教育・資格・人材】国際医療福祉大学 成田看護学部にて「AI時代における学習成果の評価方法」をテーマにパパゲーノ代表 田中康雅がFD研修を実施 – 茨城新聞クロスアイ 2026年1月16日2026年1月16日ai ~看護教育の現場でAIと共存する評価のあり方を探る90分間のワークショップ~生成AIを活用した就労支援事業やAI支援記録アプリ「AI支援さん」の開発を行う株式会社パパゲーノ(代表取締役:田中康雅、住所...
医療業界における技能継承とAI活用【第7回】 – デジタルクロス 2025年12月15日2025年12月15日ai 医療現場では、ベテラン医師の経験知や暗黙知が診断・治療の質を支えている。だが、その継承は制度的・文化的な制約により困難を極めている。人口減少や高齢化による人材不足、働き方改革による情報共有機会の減少、...
医療業界における技能継承とAI活用【第7回】 – デジタルクロス 2025年12月15日2025年12月15日ai 医療現場では、ベテラン医師の経験知や暗黙知が診断・治療の質を支えている。だが、その継承は制度的・文化的な制約により困難を極めている。人口減少や高齢化による人材不足、働き方改革による情報共有機会の減少、...
医療におけるサイバーセキュリティー・リスクは現行の危機 – IBM 2025年12月12日2025年12月13日ai ヘルスケアは標的となりやすい業種・業務の1つであるため、サイバーセキュリティーは依然として優先度が高い事項です。しかし、医療組織では何が改善できるのでしょうか?
【医薬翻訳サービス】国際医学情報センター – 神戸どうぶつ王国 2025年12月12日2025年12月12日ai 医学、規制、業界ルールに精通‐専門性高いスタッフ陣 国際医学情報センター(IMIC)は、医学論文や承認申請資料などに関する通常翻訳を主力としつつ、患者向けの医…
「論文の読み方はもう生成AIに任せればいいじゃないか」と思っていませんか? – 日経メディカル 2025年12月11日2025年12月12日ai こんにちは。横浜市立大学大学院データサイエンス研究科の後藤匡啓です。救急専門医の取得後、ハーバード大学公衆衛生大学院・マサチューセッツ総合病院で臨床研究を学び、今は大学院で臨床研究・ヘルスサービスリサ...
現役医師が自作! AIエージェントで「note」リサーチ時間を10分の1に – NIKKEIリスキリング 2025年12月11日2025年12月11日ai Comprehensive up-to-date news coverage, aggregated from sources all over the world by Google News.
医師が生成AIを使うと同僚からの評価が下がる?ーAI活用のパラドックス – The Medical AI Times 2025年12月9日2025年12月9日ai 生成型人工知能(Generative Artificial Intelligence, GenAI)は、診断支援や治療方針の決定など、臨床判断の高度化に寄与する技術として注目されている。しかし、AIの...
AIレセプト業務効率化ツール「Reze」、WebORCA連携プロジェクトを始動 – ニコニコニュース 2025年12月4日2025年12月5日ai 株式会社mutex(本社:東京都文京区、代表取締役:熊澤洸平)は、医療機関向けAIレセプト業務支援ツール「Reze(レゼ)」にて、WebORCAとのAPI連携プロジェクトを正式に開始いたしました。 本...
医療AI導入の現実:プロジェクトが失敗する本当の理由 – Forbes JAPAN 2025年12月4日2025年12月4日ai カーティク・スッビア氏は、医療SaaS分野におけるAI導入を専門とするHealthLink Dimensionsのチーフ・テクノロジー・オフィサー(CTO)である。AIが医療を変革するという話題で持ち...
[業界初※1]美容医療向けAIエージェント『ClinicHub』、LINE返信をAIがサポートする新機能をリリース(PR TIMES) – 毎日新聞 2025年12月2日2025年12月2日ai ~AIが文脈を理解し、最適な返信を提案する「AI返信アシスト機能」搭載。患者対応の“質”と“スピード”を劇的に変革~美容医療等の自由診療クリニック向けにAIエージェント『ClinicHub』等のDX支...
ClinicHub、業界初のAIによるLINE返信サポート機能を正式リリースし業務効率化を実現 – ニュースメディアVOIX 2025年12月2日2025年12月2日ai 美容医療向けAIエージェント『ClinicHub』が新機能をリリース 株式会社zapathは、自由診療クリニック向けAIエージェント『ClinicHub』の新機能として、LINE公式アカウントとの連携...
AIボイスボット(電話自動応対)「AmiVoice ISR Studio」が、ファストドクターに導入され、電話対応の約83%を自動化 – 時事ドットコム 2025年11月27日2025年11月27日ai [株式会社アドバンスト・メディア]月100時間以上の問い合わせ応対業務を自動化し、業務効率化と応対品質向上を実現株式会社アドバンスト・メディア(本社:東京都豊島区、代表取締役会長兼社長:鈴木清幸 以下...
息子を医者にしたい!連れ子同士の再婚”教育費”目当ての女性の目論見とは?(植草美幸/恋愛・婚活アドバイザー) – au Webポータル 2025年11月24日2025年11月24日ai 【独身者5割時代へ あなたは結婚したい?】#25 「連れ子同士」の再婚は珍しくありません。ただし、教...
【GENOVA】クリニック向け「NOMOCa-AI chat」が市場調査で3冠達成! 「累計導入件数」「直近1年間での導入件数」「直近1年間での当該売上」でNo.1を獲得 – PR TIMES 2025年11月21日2025年11月21日ai 株式会社GENOVAのプレスリリース(2025年11月21日 15時30分)【GENOVA】クリニック向け「NOMOCa-AI chat」が市場調査で3冠達成! 「累計導入件数」「直近1年間での導入件...
医療現場発のDX人材育成プログラム、全国オンライン開講へ – PR TIMES 2025年11月18日2025年11月18日ai YANBARUメディカルイノベーション合同会社のプレスリリース(2025年11月18日 10時00分)医療現場発のDX人材育成プログラム、全国オンライン開講へ
【これから『薬』の話をしよう】生成AI技術とジェボンズのパラドックス 医療法人徳仁会中野病院薬局 青島周一 – 神戸どうぶつ王国 2025年11月15日2025年11月15日ai 近年、生成AI(人工知能)技術の急速な進歩と普及によって、多くのホワイトカラー職種が、一時解雇(レイオフ)の対象となっています。2025年5月には、米国の大手…
【これから『薬』の話をしよう】生成AI技術とジェボンズのパラドックス 医療法人徳仁会中野病院薬局 青島周一 – 神戸どうぶつ王国 2025年11月15日2025年11月15日ai 近年、生成AI(人工知能)技術の急速な進歩と普及によって、多くのホワイトカラー職種が、一時解雇(レイオフ)の対象となっています。2025年5月には、米国の大手…
プレスリリース:[AIレセプトSaaS Reze]返戻/査定対応漏れを“カンタン”に防止。収益ロスを抑える「返戻/査定ワークスペース」機能をリリース(PR TIMES) – 毎日新聞 2025年11月14日2025年11月14日ai 返戻/査定の対応漏れを“仕組み”で防止。迷いのない対応フローにより、現場負担を抑えつつ、収益の取りこぼしを抑えます。株式会社mutex(本社:東京都文京区、代表取締役:熊澤洸平)は、病院向けAIレセプ...
キカガク、東京ネクスト南砂内科・透析クリニック 岩藤医師と共同ウェビナーを 11月18日(火)に開催。 – PR TIMES 2025年11月11日2025年11月11日ai 株式会社キカガクのプレスリリース(2025年11月11日 09時36分)キカガク、東京ネクスト南砂内科・透析クリニック 岩藤医師と共同ウェビナーを 11月18日(火)に開催。
生成AIの進化で考えた「患者に寄り添う」意味 – 日経メディカル 2025年11月10日2025年11月10日ai 「薬剤師さん、ChatGPTに聞いたら『この薬の副作用のせいかもしれない』って返ってきたんですけど……」。薬局で患者からこんな相談を受けることが、現実に起こり始めている。生成AI(人工知能)は日々驚く...
藤田医大、全学と関連病院にAI拡大 医科系大で初 退院時の書類作成など:ニュース – 中日BIZナビ 2025年11月5日2025年11月5日ai 藤田医科大(愛知県豊明市)は5日から、同大病院で患者の退院時の書類作…
乳がん治療後の“尊厳”を取り戻す医療を、当たり前の選択肢に。銀座アイグラッドクリニック院長・乾雅人医師が11/1-2に – ニコニコニュース 2025年10月31日2025年10月31日ai 「乳がん患者に選択肢を」提示すべく、乳輪乳頭アートメイクの世界的な施術者を講師として招聘し、銀座アイグラッドクリニックで講習会を実施しました。写真は、講習直後の動画撮影中の一コマ。左から、乾雅人(銀座...
(プレスリリース)乳がん治療後の“尊厳”を取り戻す医療を、当たり前の選択肢に。銀座アイグラッドクリニック院長・乾雅人医師が11/1-2に開催の「PMU Tokyo Summit 2025」に登壇 – ニフティニュース 2025年10月30日2025年10月30日ai ~乳輪・乳頭アートメイクの医療的価値と社会的意義を語る~「乳がん患者に選択肢を」提示すべく、乳輪乳頭アートメイクの世界的な施術者を講師として招聘し、銀座アイグラッドクリニックで講習会を実施しました。写...
医師の負担軽減へ──地域医療機関が“院内生成AI”による「退院時サマリ」自動作成をオンプレミスで実装 – EnterpriseZine 2025年10月24日2025年10月24日ai 生成AIはパブリッククラウドとの連携を中心に進化を遂げてきたといっても過言ではない。その一方で、大企業やセンシティブなデータを扱う業界からはセキュリティ/プライバシーリスク、あるいはデータ主権(データ...
医療現場におけるAI活用とG検定対策に関するプレ講義「AIって何?G検定から始める医療×AI」を開催しました – teikyo-u.ac.jp 2025年10月15日2025年10月15日ai 教育・研究医療現場におけるAI活用とG検定対策に関するプレ講義「AIって何?G検定から始める医療×AI」を開催しました 福岡キャンパス2025年9月24日(水)、帝京大学福岡キャンパスで、医療現場にお...
アルファベットのライフサイエンス子会社であるベリリーは、AIと精密医療に再び注力するため、医療機器事業を閉鎖する。 – Mashdigi 2025年10月11日2025年10月11日ai ライフサイエンスとヘルスケアテクノロジーに特化したアルファベット傘下のVerilyは、最近、医療機器部門の閉鎖とそれに伴う関連従業員のレイオフを発表しました。影響を受ける従業員数は公表されていませんが...
介護・医療・福祉業界特化型採用代行サービス「medica(メディカ)」導入事業者数が1,800社を突破、AIと伴走型支 – ニコニコニュース 2025年10月9日2025年10月10日ai 株式会社For A-careerの連結子会社である株式会社CyXen(本社:東京都目黒区、代表取締役:新原、以下「当社 」)が提供する、介護・医療・福祉業界に特化した採用代行サービス「medica(メ...
身体や心の痛みを数値化 ドコモ世界初、医療に活用 – au Webポータル 2025年10月7日2025年10月8日ai NTTドコモは身体や心の痛みを数値化し、他人と共有しやすくする新たな仕組みを開発したと7日までに発表...
ヘルスケアにおけるAI:期待から実践へ – Unite.AI 2025年10月3日2025年10月3日ai ヘルスケアは今日ほど、テクノロジーの将来性とその実現へのプレッシャーが高まったことはありません。テクノロジーによるイノベーションは驚異的です。生成AIは、控訴状の作成、臨床記録の要約、アンビエントツー...
【新潟ビジネス専門学校】医療現場で求められる「ホスピタリティ」を学ぶ!‐医療機関向けコミュニケーション研修を実施‐ – PR TIMES 2025年10月1日2025年10月2日ai 株式会社NSGホールディングスのプレスリリース(2025年10月1日 10時00分)【新潟ビジネス専門学校】医療現場で求められる「ホスピタリティ」を学ぶ!‐医療機関向けコミュニケーション研修を実施‐
SNS×AIで幅広い業界を支援 ― 医療・飲食・設計事務所で成果レポート! – ニコニコニュース 2025年9月29日2025年9月30日ai 株式会社BOTANICOのアシナミSNSは、SNS運用とAI活用によるマーケティング支援を通じ、医療機関、飲食店、設計事務所など多様な業界で実績を重ねてまいりました。 このたび、各業界における代表的...
(プレスリリース)SNS×AIで幅広い業界を支援 ― 医療・飲食・設計事務所で成果レポート! – ニフティニュース 2025年9月29日2025年9月29日ai 株式会社BOTANICOのアシナミSNSは、SNS運用とAI活用によるマーケティング支援を通じ、医療機関、飲食店、設計事務所など多様な業界で実績を重ねてまいりました。このたび、各業界における代表的な成...
(プレスリリース)SNS×AIで幅広い業界を支援 ― 医療・飲食・設計事務所で成果レポート! – ニフティニュース 2025年9月29日2025年9月30日ai 株式会社BOTANICOのアシナミSNSは、SNS運用とAI活用によるマーケティング支援を通じ、医療機関、飲食店、設計事務所など多様な業界で実績を重ねてまいりました。このたび、各業界における代表的な成...
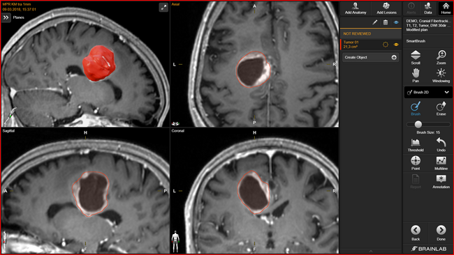
Brainlab(R) ElementsにAI技術を新たに搭載 – ニコニコニュース 2025年9月13日2025年9月14日ai 2025年9月、ブレインラボ株式会社(本社:東京都港区)は、手術計画用および放射線治療計画ソフトウェアBrainlab(R) Elementsのアプリケーションの一つである輪郭描画ソフトウェア、Ele...
FPT、A80アチーブメント展で教育と医療におけるAIアプリケーションを紹介 – Vietnam.vn 2025年9月3日2025年9月3日ai 国家功績展「独立・自由・幸福の旅の80年」の一環として、FPTグループは「AI Nation」ブースに参加しました。
AI-OCR処方箋自動入力システム「薬師丸賢太」、月間読み取り枚数が500万枚を突破 – PR TIMES 2025年8月20日2025年8月20日ai NeoX株式会社のプレスリリース(2025年8月20日 08時00分)AI-OCR処方箋自動入力システム「薬師丸賢太」、月間読み取り枚数が500万枚を突破
余命予測のズレにAIは有効か 「FaceAge」の研究結果を外科医が語る – ライブドアニュース 2025年8月14日2025年8月15日ai YouTubeチャンネル「がん情報チャンネル・外科医 佐藤のりひろ」に公開された動画で、外科医・医学博士の佐藤典宏氏が「顔でがん患者の余命がわかる?」というテーマについて解説した。佐藤氏は冒頭で、これ...
業界初の診療・調剤報酬に特化したAIチャットボットが登場! – 時事ドットコム 2025年8月4日2025年8月4日ai [ネント合同会社]診療・調剤報酬の疑問をAIが瞬時に解決!医療事務の業務効率化をサポートする、「業界初」の専用AIチャットボット「診療報酬コンシェルジュ」リリースのお知らせ◆診療報酬コンシェルジュ:h...
医療系スタートアップGramEye、AMEDデジタルヘルスケア開発・導入加速化事業に採択 – ニコニコニュース 2025年8月1日2025年8月1日ai 株式会社GramEye(本社:大阪府茨木市、代表取締役:平岡悠、以下「GramEye 」)は、国立研究開発法人日本医療研究開発機構(以下、AMED)が公募した令和6年度 「デジタルヘルスケア開発・導入...
医療におけるAIの可能性と教育:欧州と日本の専門家が万博で議論 – PR TIMES 2025年7月31日2025年7月31日ai Bracco S.p.A.のプレスリリース(2025年7月31日 15時20分)医療におけるAIの可能性と教育:欧州と日本の専門家が万博で議論
日本IBM、医療従事者の業務変革を促進する「病院業務支援AIソリューション」を提供開始 – RBB TODAY 2025年7月17日2025年7月17日ai 電子カルテ・システム「IBM Clinical Information System」と連携し、医療従事者の記録業務効率化と働き方改革および病院のDX推進を支援日本アイ・ビー…
医師のデジタル行動を可視化! 製薬企業のデジタルマーケティング戦略を深化させる新サービス「Logscape(ログスケ)」を提供開始 – PR TIMES 2025年7月17日2025年7月17日ai 株式会社インテージホールディングスのプレスリリース(2025年7月17日 11時01分)医師のデジタル行動を可視化! 製薬企業のデジタルマーケティング戦略を深化させる新サービス「Logscape(ログ...
【新製品】SOAP指導文自動生成機能「P-POS AI薬歴入力オプション」発売 ユニケソフトウェアリサーチ – 神戸どうぶつ王国 2025年7月11日2025年7月20日ai ユニケソフトウェアリサーチは6月25日に、医療現場での関心が高まっているAI(Chat GPT)(*)を活用した“SOAP指導文自動作成機能”を同社の主力商品…
生成AIを活用したQ&Aシステム「MorsonSmartQ&A」日本老年看護学会で紹介 | 株式会社ゼネテックのプレスリリース – PR TIMES 2025年7月10日2025年7月20日ai 株式会社ゼネテックのプレスリリース(2025年7月10日 12時10分)生成AIを活用したQ&Aシステム「MorsonSmartQ&A」日本老年看護学会で紹介
AI時代の医療はバラ色という楽観論への疑問 現役医師が懸念する「AIが教えることができないこと」とは – ライブドアニュース 2025年7月4日2025年7月19日ai AIの進歩が著しい昨今、医療分野でも今後さらに積極的に活用されていくのは間違いないだろう。膨大な医学的知識や事例をもとに、瞬時に「正解」を導き出してくれるのならありがたい。【写真を見る】医学部の教授た
AIデータ社が医療・ヘルスケアの未来を拓くフォーラムを開催 – NFT-TIMES 2025年6月27日2025年7月19日ai AIデータ社が医療・ヘルスケアの未来を拓くフォーラム開催 AIデータ株式会社は5月29日に「AI孔明×AI/DXフォーラム 医療・ヘルスケア」を開催し、医療業界におけるAIとデジタル技術の利活用を探る...
前場コメント No.5 キヤノン、トラストHD、ナイル、サンバイオ、7&I-HD、トリドリ(トレーダーズ・ウェブ) – Yahoo!ファイナンス 2025年6月27日2025年7月19日ai 前場コメント No.5 キヤノン、トラストHD、ナイル、サンバイオ、7&I-HD、トリドリ...
リーガルテックグループ JJAPAN MADE社、HyperJ × AI孔明 on IDX、バイオ・再生医療製造における「治験・輸出向け製品証明とナレッジ連携基盤」提供開始 – イザ! 2025年6月26日2025年7月19日ai iza(イザ!)は産経デジタルが運営する総合ニュースサイトです。政治、経済、国際、社会、スポーツ、芸能といったさまざまなジャンルの記事をご覧いただけます。
薬学研究にAI活用を推進 岐阜薬科大と電算システムが連携協定 – 岐阜新聞デジタル 2025年6月11日2025年7月19日ai 岐阜薬科大(岐阜市大学西)は11日、人工知能(AI)の活用や戦略的なデジタルトランスフォーメーション(DX)を推進しようと電算システム(同市日置江)と連携協定を結んだ。教職員や学生が...全文: 48...
病院経営者様向けカンファレンス「日本医療生成AIフォーラム2025」の全登壇者を発表 – 産経ニュース 2025年6月10日2025年7月19日ai 産経新聞社のニュースサイト。政治、経済、国際、社会、スポーツ、エンタメ、災害情報などの速報記事と解説記事を掲載しています。
医師の学会発表準備が激減!AIが自動でスライド作成する無料サービス開始 – PR TIMES 2025年6月9日2025年7月19日ai 株式会社piponのプレスリリース(2025年6月9日 09時00分)医師の学会発表準備が激減!AIが自動でスライド作成する無料サービス開始
医師の学会発表準備が激減!AIが自動でスライド作成する無料サービス開始:マピオンニュースの注目トピック – マピオン 2025年6月9日2025年7月19日ai マピオンが提供するマピオンニュースへようこそ。注目のトピックを紹介します。~研究成果の発表資料作成を劇的に効率化~ 診察を録音するだけカルテを作るAIカルテを手がける株式会社pipon(本社:東京都豊...
トライト、東京科学大学と医療・介護分野のDX推進に向けた産学共同研究を開始 – ICT教育ニュース 2025年6月6日2025年7月19日ai トライトは4日、東京科学大学と、医療・介護分野のDX推進に向けた共同研究を開始したことを発表した。 東京科学大学の医療・創薬イノベーション教育開発機構所属の同研究代表者である奥真也 […]
医師の92%が業務効率化につながったと回答生成AIを活用した「退院時サマリー作成支援システム」が実用化 – マピオン 2025年5月27日2025年7月19日ai マピオンが提供するマピオンニュースへようこそ。注目のトピックを紹介します。~医療DXへの貢献めざし新事業会社が本格始動~ 藤田医科大学を運営する学校法人藤田学園(愛知県豊明市)は、医療DXの推進および...
医療と教育の進歩に関する政治局決議案第2号の完成 – Vietnam.vn 2025年5月17日2025年7月18日ai 首相は、できるだけ早く国民の入院費を免除できるよう努力すると述べたが、適切なロードマップと手順が必要だ。一般教育に関しては、首相は各教育レベルで英語、デジタルリテラシー、AIの普及に重点を置くことを提...
トランプ政権が発表「トランスジェンダー医療は薬ではなく心理療法で」に警戒の声 – au Webポータル 2025年5月12日2025年7月18日ai 【ニューヨークからお届けします】 トランプ政権がトランスジェンダーへの医療に関するリポートを発表しま...
Microsoft AI Tour 産業別セッションレポート【政府・公共機関/教育/医療】〜生成 AI が実現し得る新しい社会のかたち〜 – Microsoft 2025年5月12日2025年7月18日ai 2025年3月27日、Microsoft AI Tourが東京ビッグサイトで開催されました。AI技術の進化が紹介され、様々な業界での成果が実感できるイベントでした。 本稿では、基調講演のサマリーと、政...
トランプ大統領が予告していた「重大発表」 内容は「薬価の引き下げ」 – TBS NEWS DIG 2025年5月12日2025年7月18日ai アメリカのトランプ大統領は、先週から予告していた「重大発表」を行い、内容が「薬の価格の大幅な引き下げ」だったことを明らかにしました。アメリカのトランプ大統領は11日、「処方薬や医薬品の価格をただちに3...
施術後のカルテ記入、もう“やらなくていい”。 ―AIが自動生成する次世代カルテ管理 SaaS「AIカルテ」β版リリース – RBB TODAY 2025年5月8日2025年7月18日ai 月 50 時間のカルテ記入をゼロにし、リピート率+20%を実証。美容・医療業界向けに株式会社 Speriaが提供開始、初期費用のβ版キャンペーンも実施株式会社 Speria(…
病院経営者様向けカンファレンス「日本医療生成AIフォーラム2025」7月9日に開催決定 (2025年4月24日) – Excite エキサイト 2025年4月24日2025年7月18日ai “医療×生成AI~これからの病院経営のあり方~”をテーマに東京・大阪の2会場にて実施Ubie株式会社(本社:東京都中央区、共同代表取締役:阿部吉倫・久保恒太)は、病院経営者様向けカンファレンス「日本医...
TXP Medical株式会社、「グローバルサウス未来志向型共創等事業費補助金」に採択 – ニコニコニュース 2025年4月12日2025年7月18日ai TXP Medical株式会社(本社:東京都、代表取締役:園生智弘)は、グローバルサウス諸国の市場活性化と日本との経済連携の強化を目的とした経済産業省令和5年度補正「グローバルサウス未来志向型共創等事...
GEヘルス、旗艦CT投入 AI・自動化技術活用 – 日刊工業新聞 2025年4月11日2025年7月18日ai がん診断確度向上 GEヘルスケア・ジャパン(東京都日野市、若林正基社長最高経営責任者〈CEO〉)は11日、フラッグシップコンピューター断層撮影装置(CT)「レボリューションバイブ」を発売する。AI(人...
クラウド型AIセファロ分析支援システム「DIP Ceph PRO」正式リリース – イザ! 2025年4月8日2025年7月17日ai iza(イザ!)は産経デジタルが運営する総合ニュースサイトです。政治、経済、国際、社会、スポーツ、芸能といったさまざまなジャンルの記事をご覧いただけます。
GEヘルスケア・ジャパンが上尾中央医科グループにおいて新たなAIソリューションを開発 – tv-tokyo.co.jp 2025年4月5日2025年7月17日ai GEヘルスケア・ジャパンが上尾中央医科グループにおいて新たなAIソリューションを開発
医療におけるデータマイニング 〜病気を未然に防ぐAI医師〜 | IT社会と原子力 | FEATURE | 原子力産業新聞 – 日本原子力産業協会 2025年3月31日2025年7月17日ai text:石井敬之 米国のジョンズ・ホプキンス病院(Johns Hopkins Hospital)では、大規模
救急治療の必要性…ChatGPTは的確に判断するも人は誤解が多い – ニフティニュース 2025年3月30日2025年7月17日ai (写真はイメージ(C)日刊ゲンダイ)【役に立つオモシロ医学論文】 国内における救急車の利用は急増しており、2022年における搬送人員は621万人超(前年比13.2%増)でした。医学的な知識がない一般の...
フィリップス、日本の医療における課題解決のためのAIおよびデジタル活用に関するプレスセミナーを開催(PR TIMES) – 毎日新聞 2025年3月28日2025年7月17日ai ロイヤル フィリップス チーフ・メディカル・オフィサー アトゥール・グプタ、慶應義塾大学 陣崎雅弘教授、浜松医科大学 五島聡教授が登壇左から、フィリップス・ジャパン プレシジョン・ダイアグノシス事業部...
ユーザー数1万人超の医療用HRマネジメントSaaS「エピタルHR」に「テックタッチ」を採用、医療現場の働き方改革を加速 – ニコニコニュース 2025年3月28日2025年7月17日ai AI型次世代DAP「テックタッチ」を開発・提供し、DAP市場国内シェアNo.1のテックタッチ株式会社は、株式会社エピグノ(本社:東京都中央区、代表取締役 乾 文良、以下 エピグノ)が提供する、医療機関...
東京イセアクリニック、AI解析肌ツール「スキンケアプロ」を導入。患者一人ひとりのお肌悩みに合わせた美容施術を提案 – AIsmiley 2025年3月10日2025年7月17日ai パーフェクト社は、東京イセアクリニックにAI肌解析ツール「スキンケアプロ」を提供したことを発表しました。
【AI博覧会 Spring 2025】第6弾スピーカー9名を発表!教育、金融、製造、医療、対話など、AIと共存するためのポイントを解説! – PR TIMES 2025年3月10日2025年7月17日ai 株式会社アイスマイリーのプレスリリース(2025年3月10日 10時00分)【AI博覧会 Spring 2025】第6弾スピーカー9名を発表!教育、金融、製造、医療、対話など、AIと共存するためのポイ...