【国内初*】zapath、自由診療特化型のAgentic AI「CLINIC BOY」を提供開始 – 時事ドットコム 2026年4月20日2026年4月20日ai [株式会社zapath]ヒトとAIの協働で、自由診療の予約・アフターフォローの現場から『患者体験のあり方』を再定義美容医療をはじめとした自由診療領域に特化したBPOサービスおよびCRM SaaS「Cl...
医療でのAIの活用 学会設立し議論を提起 – 東洋経済オンライン 2026年4月18日2026年4月18日ai 医療とAIの融合が飛躍的に進む中、個々の患者に最適な治療を目指す「プレシジョンメディシン」の実現が期待されています。医師を支えるAI技術は診断や治療選択の精度向上のみならず、医療費削減や地方格差解消に...
臨床検査DXとAIが臨床検査に与えるインパクト ~臨床検査技師による医師などの業務負担軽減の提案~ | チバテレ+プラス – 千葉テレビ放送 2026年4月14日2026年4月14日ai これからの時代の臨床検査技師に求められる役割と課題について 2026年4月14日 一般社団法人日本臨... (共同通信 PR Wire)(チバテレ+プラス)
中国製ヒト型ロボを「教育」 礼節や所作、AI新興が病院で実証 – 日本経済新聞 2026年4月10日2026年4月10日ai 人工知能(AI)新興のZEALS(ジールス、東京・目黒)が中国製のヒト型ロボットを日本に導入する。病院内の案内や夜間の見守りといった業務の担い手として仕事を教え込む。 AIで簡単にロボット制御プログ
中国製ヒト型ロボを「教育」 礼節や所作、AI新興が病院で実証 – 日本経済新聞 2026年4月9日2026年4月9日ai 人工知能(AI)新興のZEALS(ジールス、東京・目黒)が中国製のヒト型ロボットを日本に導入する。病院内の案内や夜間の見守りといった業務の担い手として仕事を教え込む。 AIで簡単にロボット制御プログ
保健福祉部がAIで慢性疾患管理医療格差を縮小 – CHOSUNBIZ – Chosunbiz 2026年4月9日2026年4月9日ai 保健福祉部がAIで慢性疾患管理医療格差を縮小 福祉部と韓国保健産業振興院、AX事業でAI製品の商用化を後押しし一次医療と遠隔協診を強化 糖尿病や高血圧といった慢性疾患は健康的な長寿を妨げる。脳卒中、心...
メディカルライティングにおける AI 市場規模、シェア |成長レポート [2034] – Fortune Business Insights 2026年4月4日2026年4月4日ai メディカルライティングにおける世界の AI 市場規模は、予測期間中の CAGR 24.99% で、2026 年の 15 億 2000 万ドルから 2034 年までに 90 億 4000 万ドルに成長す...
患者エンゲージメントにおける AI の市場規模、シェア |成長 [2034] – Fortune Business Insights 2026年4月4日2026年4月4日ai 患者エンゲージメントにおける世界の AI 市場規模は、2026 年の 96 億 7000 万ドルから 2034 年までに 1,220 億 1000 万ドルに成長し、37.28% の CAGR で成長す...
AI・AR・電気刺激を統合したリハビリテーションプラットフォーム「Spatial StimelMD」を日本展開 – ニコニコニュース 2026年3月31日2026年3月31日ai ジャパン・トゥエンティワン株式会社(本社:愛知県豊橋市/代表取締役社長:岸本賢和、以下J21)は、AI駆動型神経筋リハビリテーションプラットフォームを開発するモーションインフォマティクス社[…
電子カルテAI要約の導入広がる、10~15分の作業が「5秒で終わる」…患者への説明も丁寧に(読売新聞オンライン) – Yahoo!ニュース 2026年3月28日2026年3月29日ai 電子カルテに書き込む文書などを人工知能(AI)を使って要約するシステムの導入が、医療現場で広がっている。これまで医師らが時間をかけて患者に関する情報をまとめていた文書を即時に完成させる。患者へのよ
AIチャットボットが医師から“処方”される時代がやってくる – WIRED.jp 2026年3月26日2026年3月26日ai 術後ケア用の人工知能(AI)ツールが、患者向けの生成AIとしては初めて米食品医薬品局(FDA)のブレークスルーデバイス指定を取得した。AIが診断補助ツールから処方型医療デバイスへと進化する重要な転換点...
製薬企業向け資材一次レビューAIサービス『MIRAI Review』に、元文献との整合性を自動チェックする「メディカルチェック機能」を追加 – 西日本新聞me 2026年3月23日2026年3月23日ai AI・生成AIを活用した業務支援ソリューションを展開する木村情報技術株式会社(本社:佐賀県佐賀市、代表取締役:木村隆夫、以下「木村情報...|西日本新聞meは、九州のニュースを中心に最新情報を伝えるニ...
創薬におけるAIの日本市場(2026年~2034年)、市場規模(前臨床試験、薬剤の最適化と再利用、標的の特定、候補スクリーニング)・分析レポートを発表 – アットプレス 2026年3月22日2026年3月23日ai 株式会社マーケットリサーチセンターのプレスリリース:創薬におけるAIの日本市場(2026年~2034年)、市場規模(前臨床試験、薬剤の最適化と再利用、標的の特定、候補スクリーニング)・分析レポートを発...
AI×ロボットと外科手術が融合 医師らが先端医療を紹介 肥後医育塾 – NEWSjp 2026年3月22日2026年3月23日ai 市民向け医療セミナー「第87回肥後医育塾」が22日、熊本市中央区の市医師会館であり、外科医ら4人が人...
Perplexity Health:AIが個人医療データを活用する新機能の詳細 – Пепелац Ньюс 2026年3月21日2026年3月22日ai Perplexityは、人工知能がユーザーの個人医療データを扱える新機能「Perplexity Health」を導入しました。このシステムはApple Healthなどのプラットフォームと連携し、ウェ...
AI医療が進展 政府は規制改革とデータ整備急ぐ – CHOSUNBIZ – Chosunbiz 2026年3月19日2026年3月19日ai AI医療が進展 政府は規制改革とデータ整備急ぐ 政府・与党、データ保護と健保適用支援を掲げ「公的医療AI高速道路」や統合バイオビッグデータを推進 「患者の診療相談需要のうち85%は人工知能(AI)が解...
KIMES 2026開幕 AI医療拡充進む – CHOSUNBIZ – Chosunbiz 2026年3月19日2026年3月19日ai KIMES 2026開幕 AI医療拡充し診断と介護革新 医療機器見本市KIMES 2026に約1000社が出展、サムスンメディソンのAI超音波やSeers Technologyの不整脈検知、キュラコの...
保健福祉部がメディカルコリア開催 AI医療と海外展開議論 中東要人一部不参加 – CHOSUNBIZ – Chosunbiz 2026年3月18日2026年3月19日ai 保健福祉部がメディカルコリア開催 AI医療と海外展開議論 中東要人一部不参加 政府はCOEXでの『メディカルコリア2026』を通常運営、AI基盤ヘルスケアや医療の海外進出を中心に8セッションと商談を実...
BMS・勝間社長 27年からの「新薬ラッシュ」を成功に導くAI駆動型ROI向上プランを実装 変革をリード – ミクスOnline 2026年3月17日2026年3月17日ai ブリストル・マイヤーズ スクイブの勝間英仁代表取締役社長は3月16日、東京都内で記者会見に臨み、2027年からの「新薬ラッシュ」を成功に導くAI駆動型のROI向上プランを実装させる方針を明らかにした。...
画像と文書を処理するAI 医療現場での活用模索 自然な日本語生成 – 47NEWS 2026年3月17日2026年3月17日ai 2026年03月17日 00時00分急速に進化する生成人工知能(AI)。文書だけでなく画像や音声などを同時に処理できる大規模視覚言語モデル(VLM)の開発が各国で進んでいる。東京大や名古屋大などではV...
日本男性看護師會が監修した『看護×生成AI 実践ガイド』Amazon第1位獲得の衝撃 – ニュースメディアVOIX 2026年3月12日2026年3月12日ai 坪田康佑監修の書籍『看護×生成AI 実践ガイド』が大ヒット 一般社団法人日本男性看護師會の坪田康佑代表理事が執筆・監修した書籍『看護展望:看護×生成AI 実践ガイド 教育・臨床で使える活用法と事例(2...
医師の調べ物は生成AIで一変!「いつか自分にしかできない仕事に専念できる日も」 – 日経メディカル 2026年3月9日2026年3月10日ai 生成AIが搭載された検索ツールがここ数年、続々と登場する中、医師の情報収集のあり方が変わってきた。かつては「時間があるときに調べよう」と後回しにしてきた疑問についても、今ではすぐに一次情報までたどり着...
AI医療の急速な進化|嗣江建栄 – mbp-japan.com 2026年3月9日2026年3月9日ai AI医療は近年急速に進化しており、診断・治療・予防のさまざまな分野で活用が広がっている。特に画像診断では、AIがCTやMRI、X線画像を解析し、がんや脳卒中、肺炎などの異常を高精度で検出できるようにな...
フィジカルAIで医療従事者の業務負担軽減と持続可能な医療体制の実現へ AI搭載テレロボットを活用した医療現場支援実証を開始 – 朝日新聞 2026年3月7日2026年3月8日ai 一般社団法人関西イノベーションセンター(所在地:大阪府大阪市中央区、理事長:早乙女 実、以下 MUIC Kansai)は、iPresence株式会社(本社:兵庫県神戸市、代表取締役:クリストファーズ ...
「克服5カ年計画」策定から10年、脳卒中対策のこれまでとこれから―AIやデータ分析で変わる未来の治療 – ライブドアニュース 2026年3月4日2026年3月4日ai 日本循環器学会と日本脳卒中学会が2016年に「脳卒中と循環器病克服5カ年計画」を発表してから今年で10年。2019年には「脳卒中・循環器病対策基本法」が施行されました。5カ年計画と基本法は、平均寿命と...
医療の未来を変えるAI活用4つの戦略 – Forbes JAPAN 2026年3月3日2026年3月3日ai 「AIは、医療システム全体において、患者が医師とどう関わるかを変えるだろうと思う」。スイス・ダボスで開催された2026年世界経済フォーラム(WEF)会期中の「Imagination in Action...
【独占取材】 想像を超える “AI×救命医療” 患者の急変を予測し医師を支える最新システム – dメニューニュース 2026年3月1日2026年3月1日ai 【独占取材】 想像を超える “AI×救命医療” 患者の急変を予測し医師を支える最新システム(読売テレビニュース)「えっ、すごいね、これ」 医療機器メーカーのプレゼンを聞いて、大阪の総合病院の医師が驚き...
【新サービス】AI×ストレスチェックで次世代のメンタルケアを実現「AIMIND」法人向けストレスチェック管理サービス開始 – 時事メディカル 2026年2月28日2026年3月1日ai 株式会社アイ・ストリーム法人向けのストレスチェック管理のためのサービス ー 法人においてストレスチェックの計画や実施、実施状況を管理するためのサービスを2026年3月より提供開始!サービスの目的や背景...
TOPPAN、電通総研、医針盤、市民PHRデータとデータ連携基盤を活用し、AIによる勧奨配信システムを構築 – ニコニコニュース 2026年2月27日2026年2月28日ai TOPPAN株式会社(本社:東京都文京区、代表取締役社長:大矢 諭、以下「TOPPAN」)と株式会社電通総研(本社:東京都港区、代表取締役社長:岩本 浩久、以下「電通総研」)、株式会社医針盤(本社:東...
「ビッグテックに頼れない」 米国で日本人研究者が挑む「AIの薬」 [AIの時代] – 朝日新聞 2026年2月24日2026年2月24日ai AI(人工知能)がどんな仕組みで動いているのか、開発者たちにもわからないことは多いらしい。田中秀宣さん(34)は、米ハーバード大とNTTリサーチ(米シリコンバレー)でその解明に挑んでいる。目指すのは…
「ビッグテックに頼れない」 米国で日本人研究者が挑む「AIの薬」 [AIの時代] – 朝日新聞 2026年2月24日2026年2月24日ai AI(人工知能)がどんな仕組みで動いているのか、開発者たちにもわからないことは多いらしい。田中秀宣さん(34)は、米ハーバード大とNTTリサーチ(米シリコンバレー)でその解明に挑んでいる。目指すのは…
バチっと効く抗生物質はどれだ?検査室にもAIとロボが入り始めた – ASCII.jp 2026年2月23日2026年2月23日ai 日本では、風邪で病院に行っても抗生物質がほとんど出ない。ウイルスに効かないうえ、乱用すれば、いざというときに使える薬が減ってしまうからだ。そこで重要になるのが、抗生物質を使う前の初動判断。その裏側を支...
順天堂、医学生・研修医のAIに対する態度を測定する日本語翻訳版尺度の開発・検証 – ICT教育ニュース 2026年2月13日2026年2月13日ai 順天堂大学医学部ならびにダラム大学近代言語文化学部の共同研究グループは12日、医学生・研修医を対象に、AIに対する態度を測定する日本語翻訳版尺度「12項目AI態度尺度」を開発し、そ […]
hyがイミュノバイオムと提携 AIで腸健康事業拡大 – Chosunbiz 2026年2月12日2026年2月12日ai hyがイミュノバイオムと提携 AIで腸健康事業拡大 hyが新薬開発の専門企業「イミュノバイオム」と戦略的事業提携を締結したと12日に明らかにした。 イミュノバイオムは、機能性原料開発プラットフォーム...
AIチャットボットの「診察」、間違っているリスクも 研究 – dメニューニュース 2026年2月10日2026年2月10日ai AIチャットボットの「診察」、間違っているリスクも 研究(AFPBB News)【AFP=時事】次に「ドクター・ChatGPT」に相談しようと思ったときは、もう一度考え直した方が良いかもしれない。人工...
「ユビー生成AI」、大学病院10施設以上を含む全国100病院へ導入 – STRAIGHT PRESS 2026年2月6日2026年2月6日ai 2026年度(令和8年度)診療報酬改定がAI導入を後押しする中、医療特化型AIソリューションが病院の「業務効率化」と「収益改善」を加速「テク...
人材不足で広がる“放射線治療の格差”に挑むAI ー東北ニュービジネス大賞でインパクトスタートアップ大賞をアイラトが受賞! – 福島民報社 2026年2月2日2026年2月2日ai 人材不足で広がる“放射線治療の格差”に挑むAI ー東北ニュービジネス大賞でインパクトスタートアップ大賞をアイラトが受賞!掲載中の記事、写真などの無断転載を禁じます。著作権は福島民報社またはその情報提供...
英NHS、AIとロボット支援で肺がん検出を迅速化—30分で生検完了、2030年までに全喫煙者へ検診提供 – innovaTopia 2026年1月27日2026年1月27日ai NHS EnglandがIntuitive製IonロボットとOptellum製AIを組み合わせた肺がん診断試験を開始。6mmの小さな結節も検出可能で診断精度80%超。従来数週間かかった生検が30分で完...
【医療新世紀】医療で活用模索、画像と文書を処理するAI CT画像の所見文など自然な日本語で – okinawatimes.co.jp 2026年1月26日2026年1月26日ai 急速に進化する生成人工知能(AI)。文書だけでなく画像や音声などを同時に処理できる大規模視覚言語モデル(VLM)の開発が各国で進んでいる。東京大や名古屋大などではVLMを医療現場で実用化しようとする試...
レポートオーシャン株式会社プレスリリース : 日本ヘルスケアにおける人工知能(AI)市場は医療データ解析・AI臨床支援の需要拡大により2033年に21億米ドル超へ到達、CAGR21.7%で成長加速 (2026年1月16日) – Excite エキサイト 2026年1月16日2026年1月16日ai 日本ヘルスケアにおける人工知能(AI)市場はは、国内のデジタルヘルスエコシステムの中で最もダイナミックなセグメントの一つとして台頭している。2024年の市場規模は4億7760万米ドルと評価され、202...
AI技術進化に伴う米国医療制度の動向|嗣江建栄 – mbp-japan.com 2026年1月10日2026年1月10日ai 米国の医療制度は、AI(人工知能)技術の急速な進化と導入拡大によって2025〜2026年にかけて大きな変化を迎えています。まず、医療現場でのAI活用は診療支援から業務効率化まで幅広く進展しており、特に...
Pierre Fabre LaboratoriesとIktos、腫瘍学分野におけるAI駆動型統合新薬探索の共同プロジェクトを発表 – Plus Web3 2026年1月10日2026年1月10日ai フランス・カストルおよびパリ, 2026年1月9日 /PRNewswire/ -- Pierre Fabre Laboratoriesと、創薬における人工知能(AI)およびロボティクスの世界的リーダー...
デジタル・AI時代における医薬品開発の最前線を学ぶ – サードニュース 2026年1月7日2026年1月7日ai JI4PEが提供するオンライン医薬品開発教育コース。新卒や異業種の方々も安心して学べるカリキュラムです。
【岡山大学】乳がん患者さんの「心の支え」を目指したAIピアサポーターを開発 – 港北経済新聞 2025年12月30日2025年12月31日ai 港北経済新聞は、広域港北圏のビジネス&カルチャーニュースをお届けするニュースサイトです。イベントや展覧会・ライブなどのカルチャー情報はもちろん、ニューオープンの店舗情報から地元企業やソーシャルビジネス...
日本医療安全調査機構がAIを活用し医療機関における全ての偶発死報告を詳細に分析2025年までに効果的な再発防止策の草案策定を目指す – Mix Vale 2025年12月30日2025年12月31日ai 日本の医療現場で、予期せぬ死因に関する包括的な安全対策の強化が図られる。 Siga a Mix Vale no Google e receba as principais notícias do Br...
【医療DX】ベンダー調整・システム入替は一切不要。「HPからワンクリック」で、あなたのカルテにAIを実装する「Kart – ニコニコニュース 2025年12月25日2025年12月26日ai Wonder Drill株式会社(本社:[所在地]、代表取締役:平山 傑)は、クリニックで普及が進む「クラウド型電子カルテ」に対応し、診療記録の作成をAIで支援するGoogle Chrome拡張機能「...
AI時代の臨床現場は…「第7回アジア臨床工学フォーラム」開催 アジア共通の課題を解決するための糸口探る – 滋慶学園グループ 2025年12月22日2025年12月23日ai 医療機器の高度化・複雑化やAIの急速な発展により臨床工学技士の役割が一層重要になってきている中、「第7回アジア臨床工学フォーラム」が11月1日(土)、大阪市淀川区の新大阪ワシントンホテルプラザで開催さ...
(プレスリリース)AIによる薬歴原案生成の特許を取得しました – ニフティニュース 2025年12月16日2025年12月16日ai ―会話データと処方内容の組み合わせによる高精度な薬歴原案生成技術を権利化―本件に関するお問い合わせはこちらから(https://forms.gle/WV7ZLXjfpad4Fjdd6)AIによる薬歴原...
メディデント、日本の「XR・AI医療技術」が欧州・中東の最高学府へ – ICT教育ニュース 2025年12月11日2025年12月11日ai メディデントとミライズウェルメディカルグループは9日、日本発のXR・AI医療教育技術が欧州および中東の大学に正式採用されたことを発表した。 また、ミライズ代表の富田大介氏は、チェコ […]
ROKITヘルスケアが日本でAI基盤の腎臓再生技術を特許取得 – CHOSUNBIZ – Chosunbiz 2025年12月10日2025年12月10日ai ROKITヘルスケアが日本でAI基盤の腎臓再生技術を特許取得 人工知能(AI)基盤の再生医療プラットフォーム企業であるROKITヘルスケアは、日本で腎臓再生に関する中核となる基盤技術の特許登録が決定...
ROKITヘルスケアが日本でAI基盤の腎臓再生技術を特許取得 – CHOSUNBIZ – Chosunbiz 2025年12月10日2025年12月10日ai ROKITヘルスケアが日本でAI基盤の腎臓再生技術を特許取得 人工知能(AI)基盤の再生医療プラットフォーム企業であるROKITヘルスケアは、日本で腎臓再生に関する中核となる基盤技術の特許登録が決定...
日本人初の快挙>日本の「XR・AI医療技術」が欧州・中東の最高学府へ ミライズ代表・富田大介、中欧最古の名門「カレル大学医学部」客員教授に就任 (2025年12月9日) – Excite エキサイト 2025年12月9日2025年12月9日ai 株式会社メディデント(本社:東京都港区、以下メディデント)および、ミライズウェルメディカルグループ(以下ミライズ)の代表富田大介歯科医師(DaisukeTomita,DDS)は2025年11月24~2...
国立がん研究センターとがん情報の「誤ったAI回答」を大幅削減するRAG型チャットボットを共同開発 – 時事ドットコム 2025年12月8日2025年12月9日ai [株式会社pipon]公的ながん情報サイトを参照し、誤ったAI回答(ハルシネーション)を削減― JMIR Cancer 掲載論文で有効性を検証 ―株式会社pipon(本社:東京都豊島区、代表取締役:北...
国立がん研究センターとがん情報の「誤ったAI回答」を大幅削減するRAG型チャットボットを共同開発 – PR TIMES 2025年12月8日2025年12月8日ai 株式会社piponのプレスリリース(2025年12月8日 12時29分)国立がん研究センターとがん情報の「誤ったAI回答」を大幅削減するRAG型チャットボットを共同開発
WEB問診システム「Symview」とカルテ自動化AI「ボイスチャート」がAPI連携 – 時事ドットコム 2025年12月5日2025年12月6日ai [株式会社pipon]問診情報と診察会話を統合し、カルテ作成の完全自動化を実現 株式会社pipon(本社:東京都豊島区、代表取締役:北爪聖也)は、株式会社レイヤード(本社:福岡市博多区、代表取締役社長...
WEB問診システム「Symview」とカルテ自動化AI「ボイスチャート」がAPI連携 – PR TIMES 2025年12月5日2025年12月5日ai 株式会社piponのプレスリリース(2025年12月5日 09時36分)WEB問診システム「Symview」とカルテ自動化AI「ボイスチャート」がAPI連携
地域医療の「こころみ」× 医療AIの「medimo」、”未来の医療モデル”を共創 人手不足や僻地医療の課題解決へ、次世代型「AIスマートクリニック」を12月4日武蔵小杉に開業 – 時事ドットコム 2025年12月4日2025年12月5日ai [株式会社medimo]「医療の質」と「持続可能性」を両立する、新しい医療インフラの実証医療機関向けAI音声システム「medimo」を提供する株式会社medimo(本社:東京都港区、代表取締役社長:野...
最先端技術をどん欲に取り込む日本最古の私立医科大が、AI時代の「医師」に求める唯一無二の条件とは – Yahoo!ファイナンス 2025年11月29日2025年11月29日ai ICT(通信情報技術)やAI(人工知能)の発展は、医学界にも無縁ではない。最新のテクノロジーを取り込むことで、これまでできなかった医療も実現できるようになる。これからの医師に求められる最も大事な資質と...
生成AIがGP担う可能性も、不得手も把握を – 医療介護CBnews 2025年11月26日2025年11月27日ai CBnewsは、医療・介護に特化した総合情報サイトで、専属記者の独自記事を配信しています。医療や介護行政の動きをはじめ、医療・介護業界のタイムリーな話題や、医療者・介護従事者に役立つ新商品情報などをリ...
AIは看護師に取って代わるのではなく、看護師を患者のケアに自由に使えるようにする – Unite.AI 2025年11月19日2025年11月19日ai 私たちがいつも利用している病院、つまり救急外来に行くときに訪れる病院や、年に一度の診察や診断検査やスキャンのために通う病院に、人工知能 (AI) が導入されました…
JECCICA、「AIが人を救う時代へ」がテーマのセミナーを11月開催 – ニフティニュース 2025年11月14日2025年11月14日ai JECCICAは11月21日、11月セミナー「AIが人を救い、未来を拓く──世代を超えて語る教育×AI×人間性(石郷プロデュース)『AIは人と企業を救うのか? AIで”言葉を取り戻した”実務家とAIで...
医療従事者必見!AIと機械学習の最前線をオンラインセミナーで学ぼう – サードニュース 2025年11月11日2025年11月11日ai 11月18日、医療従事者向けにAI活用の最前線を学ぶ無料ウェビナーを開催します。現場の課題解決からキャリアまでを解説します。
「AI医師」にご用心 – Vietnam.vn 2025年11月10日2025年11月10日ai AI(人工知能)はあくまでも参考ツールとして活用し、インターネットやチャットボットの指示に従って勝手に薬を購入したり、治療したりすることは絶対に避けてください。これは医療専門家のアドバイスです。
マウスの「痛み」をAIで数値化――マウスの表情から痛みを自動判定する新技術を開発 – a.u-tokyo.ac.jp 2025年11月7日2025年11月8日ai 東京大学大学院農学生命科学研究科・農学部の公式サイトです。概要、組織、入学案内や研究者データベース。資料館やキャンパスガイド。
AIが支える医療の未来:UpToDateの新たな挑戦と信頼 – サードニュース 2025年11月6日2025年11月6日ai ウォルターズ・クルワーが日本でAI機能を搭載した新しい臨床意思決定支援ツールを導入し、医療の質向上を目指す取り組みを解説。
(プレスリリース)グリーンメチル、「メディテックハブ」に日本初の特許技術を搭載- AI技術と多層バイオデータ解析支援システムで診療情報支援の機能を拡大 – ニフティニュース 2025年10月31日2025年10月31日ai 尿・毛髪・唾液・DNA・便などの各種バイオデータ活用の機能を拡張ヘルステック企業 株式会社グリーンメチル(本社:埼玉県さいたま市、代表取締役:小林良太)は、AI技術と分子栄養学・精密医療(Precis...
新サービスドクターQAをはじめ、「AI×人の協働」をテーマにしたソリューションをご紹介 「AI World 2025 – ニコニコニュース 2025年10月29日2025年10月29日ai サービス・ライフサイクルにおける課題解決を支援するポールトゥウィン株式会社(本社:愛知県名古屋市、代表取締役CEO:橘 鉄平、代表取締役COO:志村 和昭、以下「ポールトゥウィン」)は、2025年10...
AIによる痛みの客観的評価:医療における信頼関係の再構築 – Forbes JAPAN 2025年10月27日2025年10月28日ai ケビン・ビジランテ医学博士、公衆衛生学修士。ブーズ・アレン・ハミルトンのチーフメディカルオフィサーであり、ヘルス・フューチャーズ・グループを率いている。痛みの治療は解決不可能な認識論的問題に直面してい...
医療の未来を変える、AIカメラ『YUPO-SAPO』の挑戦とは – サードニュース 2025年10月26日2025年10月26日ai 北海道から発信される医師クローンAIカメラ『YUPO-SAPO』は、小児医療の未来を変える革新技術です。重症児の医療を支援し、医師の負担を軽減する取り組みを紹介します。
AIの力でまもなく全ての患者が「名医」の診察を受けられるように…専門家「特にこの先、売上を増やそうと余計な薬を処方するような経済型<ヤブ医者>は急速に駆逐される」 – MSN 2025年10月19日2025年10月20日ai
AIの力でまもなく全ての患者が「名医」の診察を受けられるように…専門家「特にこの先、売上を増やそうと余計な薬を処方するような経済型<ヤブ医者>は急速に駆逐される」 – MSN 2025年10月19日2025年10月19日ai
医療分野におけるAI活用—安全性を担保するコンプライアンス体制の構築 – Forbes JAPAN 2025年10月18日2025年10月19日ai AIはすでに医療業界を変革している。AIは臨床医の意思決定を支援するためのデータ分析や、医療現場での管理業務における業務効率化を推進するだけでなく、個別化された治療計画の作成や、患者が自宅から健康状態...
すごいベンチャー【50】アークス/AI×ロボティクスで体外受精の工程自動化 – 東洋経済オンライン 2025年10月15日2025年10月15日ai [社 名]アークス[設 立]2022年3月[代表者名]棚瀬将康[資本金*]6億7157万円[従業員数]9人╱37人[所在地]東京都渋谷区AI(人工知能)とロボティクス技術を活用し、不妊治療の一手法であ...
(プレスリリース)医療専門職向けDX・AI教育を展開するYMI、医療専門職のキャリアを紹介するインタビュー動画配信を開始 – ニフティニュース 2025年10月10日2025年10月10日ai ~多様な働き方やキャリアの選択肢を社会に発信~医療専門職向けDX、AI分野に関するオンライン講座や人材育成を展開するYANBARUメディカルイノベーション合同会社(所在地:沖縄県国頭郡金武町、代表社員...
AIと洞察を活用した次世代の患者ケア戦略 – Forbes JAPAN 2025年10月6日2025年10月6日ai healowおよびhealow Genieの戦略・事業成長担当バイスプレジデント、シッド・シャー氏。今日の複雑な医療環境では、患者が複数の医療提供者を受診することが多く、患者データを正確かつ効率的に収...
診断クラウド「ヨミトル」、AIアシスタント機能をリリース:時事ドットコム – 時事ドットコム 2025年10月1日2025年10月2日ai [株式会社 ピクルス]AIを活用して診断コンテンツが誰でも簡単に作成可能。運用・改善作業もAIが支援、継続的な品質向上とパフォーマンス最適化を実現「消費者のポジティブな発信や行動を作り出す」をミッショ...
AIの力でまもなく全ての患者が「名医」の診察を受けられるように…専門家「特にこの先、売上を増やそうと余計な薬を処方するような経済型<ヤブ医者>は急速に駆逐される」 – dメニューニュース 2025年9月27日2025年9月28日ai AIの力でまもなく全ての患者が「名医」の診察を受けられるように…専門家「特にこの先、売上を増やそうと余計な薬を処方するような経済型<ヤブ医者>は急速に駆逐される」(婦人公論.jp)AIが変える診察室の...
医療に特化したAI発表 症状伝えると関連した病名を回答「より良い治療の選択肢に」 – KSBニュース 2025年9月16日2025年9月16日ai 自分の症状を伝えると、関連する病名や診療科を答えてくれる医療に特化したAI(人工知能)が発表されました。......
AMBL、医療現場のAI活用推進により最大70%の業務時間削減を実現 – RBB TODAY 2025年9月10日2025年9月11日ai 数理最適化でシフト作成・病床割り当てを効率化AIを武器にDXを推進させるAMBL(アンブル)株式会社(本社:東京都品川区、取締…
AI活用が日本の医療が生き残る道…前に立ちはだかる既得権まみれの「診療報酬制度」と「医療法」の壁(FRIDAYデジタル) – dメニューニュース 2025年9月7日2025年9月7日ai AI活用が日本の医療が生き残る道…前に立ちはだかる既得権まみれの「診療報酬制度」と「医療法」の壁(FRIDAYデジタル)日本の医療の課題はAIが解決してくれる!?医療従事者の不足、医療費の高騰、高齢化...
AIと数分話すだけで認知機能を判定塩野義製薬らが開発10月から提供開始 – 朝日放送 2025年9月3日2025年9月4日ai 数分間、AI(人工知能)と会話するだけで認知機能の状態を判定できるオンラインサービスが10月から始まります。「トークラボKIBIT」は出題されたテーマについて数…
日立システムズ・神奈川県・メドミライ・東京大学、生成AIを活用したヘルスケア分析基盤を構築 – ニコニコニュース 2025年9月2日2025年9月3日ai 生成AIを活用したヘルスケア分析基盤概要イメージ 株式会社日立システムズ(以下、日立システムズ)、神奈川県、株式会社メドミライ(以下、メドミライ)、東京大学は、2024年度のAMED*1公募事業「予防...
日立システムズ・神奈川県・メドミライ・東京大学、生成AIを活用したヘルスケア分析基盤を構築 – PR TIMES 2025年9月2日2025年9月2日ai 株式会社日立システムズのプレスリリース(2025年9月2日 14時02分)日立システムズ・神奈川県・メドミライ・東京大学、生成AIを活用したヘルスケア分析基盤を構築
患者の身体をAIで再現「仮想人体」 9つの臓器とAIエージェントたちが連携 中国チームが研究発表 – ITmedia 2025年9月1日2025年9月1日ai 中国の天津大学などに所属する研究者らは、患者の9つの臓器システムをそれぞれ独立したAIエージェントとして表現し、相互作用を通じて患者の状態変化を予測する研究報告を発表した。
AIで挑む不妊治療・周産期ケア。日本の出生率を救うか – newspicks.com 2025年8月31日2025年9月1日ai 厚生労働省が、2025年8月29日に公表した人口動態統計の速報値によると、2025年上半期に生まれた赤ちゃんの数(出生数)は、前年同期比3.1%減の33万9280人。比較可能なデータがある1969年以...
生成AIを活用し医療業務効率化 安全性高いネット環境で実証実験:日刊県民福井Web – 中日新聞Web 2025年8月31日2025年8月31日ai 福井の企業×福井大病院×兵庫県立大 セキュリティーシステム開発のビットブレイン(福井市)と福井大病院(永平寺町)、兵庫県立大大学院(神...
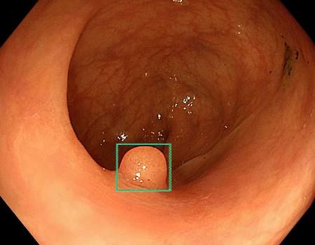
AI利用、医師の技量低下 大腸内視鏡の質検証 – 山陽新聞 2025年8月30日2025年8月31日ai 大腸内視鏡検査で医師が普段からAIの助けを借りていると、AIを使わず検査した際にポリープの一種「腺腫」の発見が約20%減るとの研究をポ...
「paylight X」に新たにAI診療記録機能を搭載 診療記録作成の負担を軽減し、業務効率を改善:マピオンニュースの注目トピック – Mapion 2025年8月29日2025年8月29日ai マピオンが提供するマピオンニュースへようこそ。注目のトピックを紹介します。[画像1: https://prcdn.freetls.fastly.net/release_image/64367/150/...
富士通がヘルスケア業界向けのAIエージェント実行基盤を構築、医療現場の効率化支援 – 日経クロステック 2025年8月28日2025年8月28日ai 富士通は2025年8月27日、ヘルスケア業界に向けたAI(人工知能)エージェント実行基盤を構築したと発表した。この基盤では、医療機関の様々な業務に特化した複数のAIエージェントを、オーケストレーターA...
富士通、AIで問診自動化 年内にも提供 エヌビディアと協業 – 日本経済新聞 2025年8月28日2025年8月28日ai 富士通は27日、米エヌビディアと協業し病院向けの人工知能(AI)システムを開発したと発表した。電子カルテなどの医療データを収集する基幹システム上に、病院業務に特化したAIを動かせるようにした。患者と
施術所向け予約システム「らいらいリザーブ」にChatGPT APIを搭載したAIデータ分析機能が追加 (2025年8月25日) – Excite エキサイト 2025年8月25日2025年8月26日ai 接骨・鍼灸マッサージ施術所向けのサービスを提供するユーキサイエンス株式会社(所在地:静岡県富士宮市、代表取締役:佐野誠)は、クラウド型予約システム「らいらいリザーブ」に、ChatGPTAPIを搭載した...
エンカドットコム「モバイル診断AI」イメージ – 매일경제 2025年8月18日2025年8月18日ai 国内最大の自動車取引プラットフォームであるエンカードットコムが独自開発した人工知能(AI)導入で、業務効率性と顧客応対などサービス品質を引き上げている。変化の中心にあるのは「エンカービジョンAI」だ。...
AI利用、医師の技量低下 大腸内視鏡の質検証 – 山陽新聞 2025年8月16日2025年8月16日ai 大腸内視鏡検査で医師が普段からAIの助けを借りていると、AIを使わず検査した際にポリープの一種「腺腫」の発見が約20%減るとの研究をポ...